Roshan Plus – The Exclusive Distributor of Alpha Dent in Saudi Arabia, a Leader in Dental Implant Technology.

info@roshenplus-sa.com
9200 14589

The loss of teeth entails serious consequences, regardless of age. This is reflected in the patient both physically and psychologically: discomfort arises, a feeling of inferiority, self-esteem falls. All-on-4 or All-on-6. Let’s look at everything in more detail.

Indications for installing dentures on implants

Indications for implantation of All-on-6 or All-on-4 teeth and subsequent prosthetics are complete or partial edentulous of one or both jaws. That is – the absence of teeth.

Adentia leads to serious consequences:

  • As a result of the absence of teeth, the digestive system suffers, as the consistency of the food, the diet as a whole, changes.
  • In the place of lost teeth, the bone collapses, since it does not feel the load and gradually atrophies; the same happens with the adjacent gingival tissues, which do not cease to receive nutrients and are destroyed.
  • With partial edentulous, the remaining teeth are displaced, food lingers in them, which leads to caries and only aggravates the situation.

Among the treatment options for edentulous are different methods: bridges, byugelny, nylon or lamellar prostheses. But the most common, reliable and successful way is dental prosthetics on implants according to the All-on-6 or All-on-4 technique.

Preparation for prosthetics

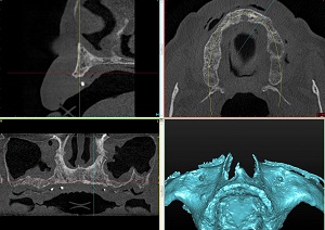
Implant planning begins with a jaw scan, cone beam computed tomography (CBCT) and a blood test. The dentist compares the results and determines the optimal position of the implants, the type of bone, the position of the dental system, the need for augmentation (bone buildup) or sinus lifting.

All-on-4 dental implantation or All-on-6 implantation

The effectiveness of the dental prosthesis on implants has long been proven by numerous studies and, directly, practice. The main difference between “All by 4” and “All by 6” is the number of implants that are placed on the patient. In addition, there are several distinctive characteristics that are worth noting:

Each individual case requires a special approach, so it is impossible to compare these two types of prosthetics, because each of them is selected individually for the purpose.

An important point in any chosen type of implantation is the choice of the implants themselves. The necessary qualities are a comfortable design, a high degree of osseointegration and primary stabilization. These characteristics are present in the Alpha Dent Implants dental system.

Alpha Dent implants will cope with any clinical case and make the smile natural and beautiful.

en_USEnglish